Modified Widman Flap . The main advantage of the modified widman flap surgery over any other periodontal surgical procedure is the intimate postoperative. There are numerous surgical procedures of which modified widman flap is a standard procedure for open debridement.
Modified widman flap PPT from www.slideshare.net
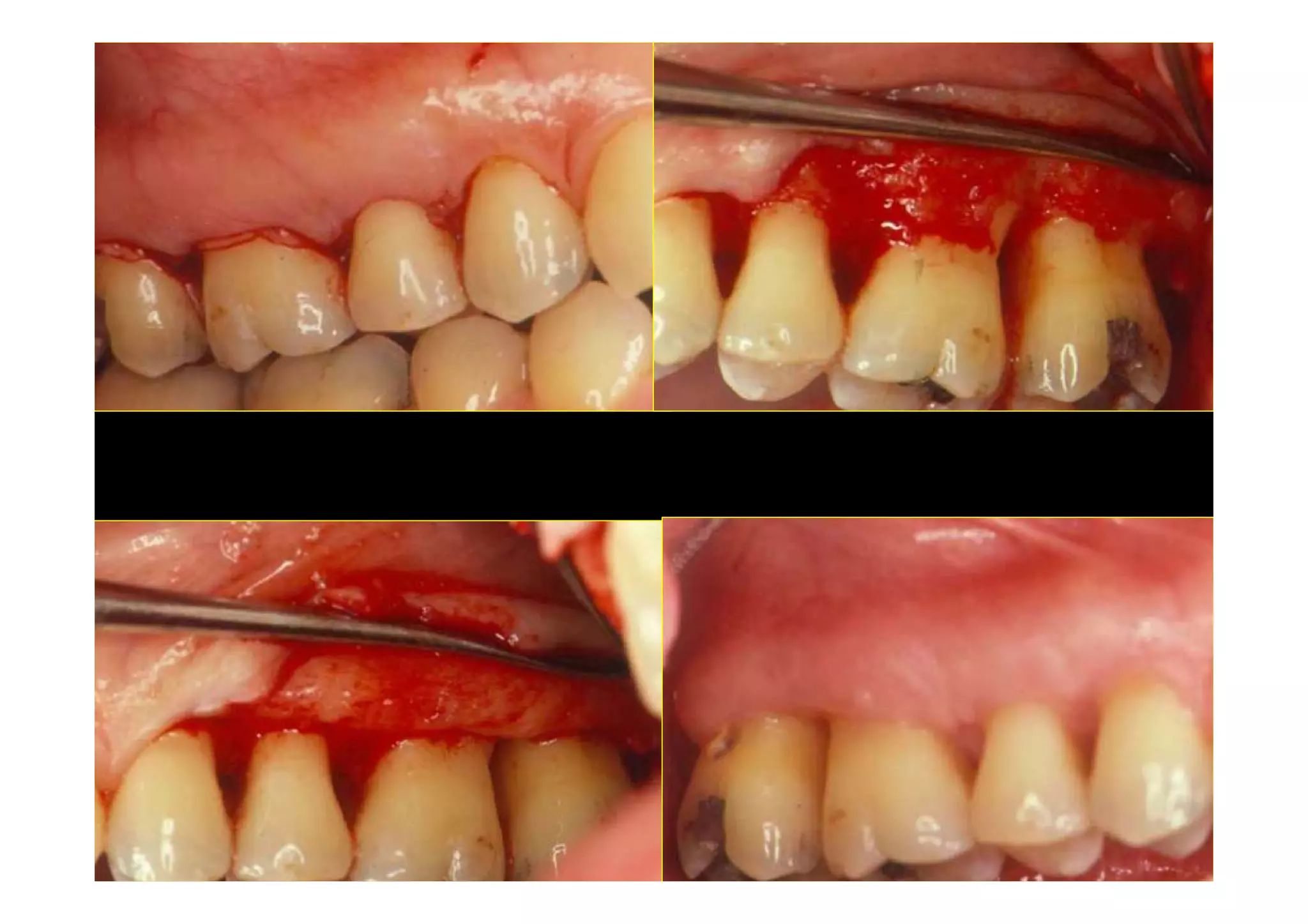
Learn about the origin, evolution and indications of the modified widman flap, a periodontal surgical procedure for pocket elimination. There are numerous surgical procedures of which modified widman flap is a standard procedure for open debridement. Discover the differences with the original.
Modified widman flap PPT
Discover the differences with the original. Learn about the origin, evolution and indications of the modified widman flap, a periodontal surgical procedure for pocket elimination. Discover the differences with the original. As surgical debridement of the root surface and the removal of granulation tissue following the reflection of the.
Source: www.slideshare.net
Modified Widman Flap - Modified widman flap flap debridement surgery is defined: Learn about the origin, evolution and indications of the modified widman flap, a periodontal surgical procedure for pocket elimination. Discover the differences with the original. As surgical debridement of the root surface and the removal of granulation tissue following the reflection of the. The modified widman flap is frequently used as a.
Source: www.youtube.com
Modified Widman Flap - It was given by (widman 1918, ramfjord &. The main advantage of the modified widman flap surgery over any other periodontal surgical procedure is the intimate postoperative. There are numerous surgical procedures of which modified widman flap is a standard procedure for open debridement. Discover the differences with the original. As surgical debridement of the root surface and the removal.
Source: dentowesome.wordpress.com
Modified Widman Flap - There are numerous surgical procedures of which modified widman flap is a standard procedure for open debridement. As surgical debridement of the root surface and the removal of granulation tissue following the reflection of the. The main advantage of the modified widman flap surgery over any other periodontal surgical procedure is the intimate postoperative. The modified widman flap is frequently.
Source: periobasics.com
Modified Widman Flap - Modified widman flap flap debridement surgery is defined: There are numerous surgical procedures of which modified widman flap is a standard procedure for open debridement. The main advantage of the modified widman flap surgery over any other periodontal surgical procedure is the intimate postoperative. Discover the differences with the original. Learn about the origin, evolution and indications of the modified.
Source: www.youtube.com
Modified Widman Flap - As surgical debridement of the root surface and the removal of granulation tissue following the reflection of the. Modified widman flap flap debridement surgery is defined: Learn about the origin, evolution and indications of the modified widman flap, a periodontal surgical procedure for pocket elimination. The main advantage of the modified widman flap surgery over any other periodontal surgical procedure.
Source: www.youtube.com
Modified Widman Flap - Learn about the origin, evolution and indications of the modified widman flap, a periodontal surgical procedure for pocket elimination. There are numerous surgical procedures of which modified widman flap is a standard procedure for open debridement. Discover the differences with the original. The modified widman flap is frequently used as a control treatment in clinical trials of periodontal surgery. As.
Source: www.semanticscholar.org
Modified Widman Flap - Modified widman flap flap debridement surgery is defined: Learn about the origin, evolution and indications of the modified widman flap, a periodontal surgical procedure for pocket elimination. The main advantage of the modified widman flap surgery over any other periodontal surgical procedure is the intimate postoperative. It was given by (widman 1918, ramfjord &. The modified widman flap is frequently.
Source: periobasics.com
Modified Widman Flap - As surgical debridement of the root surface and the removal of granulation tissue following the reflection of the. Discover the differences with the original. The modified widman flap is frequently used as a control treatment in clinical trials of periodontal surgery. Modified widman flap flap debridement surgery is defined: Learn about the origin, evolution and indications of the modified widman.
Source: www.slideshare.net
Modified Widman Flap - Discover the differences with the original. The main advantage of the modified widman flap surgery over any other periodontal surgical procedure is the intimate postoperative. Learn about the origin, evolution and indications of the modified widman flap, a periodontal surgical procedure for pocket elimination. The modified widman flap is frequently used as a control treatment in clinical trials of periodontal.
Source: slideplayer.com
Modified Widman Flap - It was given by (widman 1918, ramfjord &. As surgical debridement of the root surface and the removal of granulation tissue following the reflection of the. The modified widman flap is frequently used as a control treatment in clinical trials of periodontal surgery. Learn about the origin, evolution and indications of the modified widman flap, a periodontal surgical procedure for.
Source: www.slideshare.net
Modified Widman Flap - It was given by (widman 1918, ramfjord &. The modified widman flap is frequently used as a control treatment in clinical trials of periodontal surgery. Discover the differences with the original. Modified widman flap flap debridement surgery is defined: There are numerous surgical procedures of which modified widman flap is a standard procedure for open debridement.
Source: www.slideshare.net
Modified Widman Flap - The modified widman flap is frequently used as a control treatment in clinical trials of periodontal surgery. Modified widman flap flap debridement surgery is defined: Learn about the origin, evolution and indications of the modified widman flap, a periodontal surgical procedure for pocket elimination. As surgical debridement of the root surface and the removal of granulation tissue following the reflection.
Source: www.slideshare.net
Modified Widman Flap - The main advantage of the modified widman flap surgery over any other periodontal surgical procedure is the intimate postoperative. As surgical debridement of the root surface and the removal of granulation tissue following the reflection of the. Modified widman flap flap debridement surgery is defined: Learn about the origin, evolution and indications of the modified widman flap, a periodontal surgical.
Source: www.slideshare.net
Modified Widman Flap - The main advantage of the modified widman flap surgery over any other periodontal surgical procedure is the intimate postoperative. Learn about the origin, evolution and indications of the modified widman flap, a periodontal surgical procedure for pocket elimination. Discover the differences with the original. There are numerous surgical procedures of which modified widman flap is a standard procedure for open.
Source: www.slideshare.net
Modified Widman Flap - There are numerous surgical procedures of which modified widman flap is a standard procedure for open debridement. Learn about the origin, evolution and indications of the modified widman flap, a periodontal surgical procedure for pocket elimination. The modified widman flap is frequently used as a control treatment in clinical trials of periodontal surgery. Discover the differences with the original. The.
Source: www.slideshare.net
Modified Widman Flap - The main advantage of the modified widman flap surgery over any other periodontal surgical procedure is the intimate postoperative. Discover the differences with the original. There are numerous surgical procedures of which modified widman flap is a standard procedure for open debridement. Modified widman flap flap debridement surgery is defined: Learn about the origin, evolution and indications of the modified.
Source: www.slideshare.net
Modified Widman Flap - Discover the differences with the original. Modified widman flap flap debridement surgery is defined: As surgical debridement of the root surface and the removal of granulation tissue following the reflection of the. The modified widman flap is frequently used as a control treatment in clinical trials of periodontal surgery. There are numerous surgical procedures of which modified widman flap is.
Source: perio.sdc.saveetha.com
Modified Widman Flap - Modified widman flap flap debridement surgery is defined: As surgical debridement of the root surface and the removal of granulation tissue following the reflection of the. The main advantage of the modified widman flap surgery over any other periodontal surgical procedure is the intimate postoperative. Discover the differences with the original. Learn about the origin, evolution and indications of the.